Kütahya'nın Simav ilçesinde yaşayan Hacer Yıldırım'a, 2015 yılında İzmir'de geçirdiği ameliyatın ardından artan ağrıları nedeniyle gittiği hastanede vücudunda kateter teli unutulduğu, telin yeni bir ameliyatla alınamayacağı ve ömür boyu bu şekilde yaşaması gerektiği söylendi.
Yıldırım, bunun üzerine ihmalin meydana gelmesinde hizmet kusuru bulunduğunu ileri sürerek, maddi ve manevi tazminat istemiyle İzmir 2. İdare Mahkemesinde dava açtı.
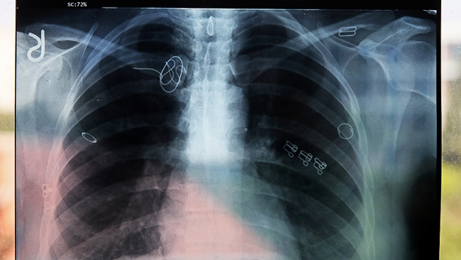
Adli Tıp Kurumunca hazırlanan raporda, ameliyatın ardından davacının vücudunda kalan "CVP kateter kılavuz teli"nin ömür boyu kullanılacak kan sulandırıcı ilaçlarla hayati tehlike oluşturmayacağı belirtilerek, benzeri cihaz parçalarının yıllarca bu şekilde damarda kaldığı, bu tür durumlarda yeni bir cerrahi müdahalenin hastaya bırakılması gerektiği ifade edildi.
Raporda, bunun davacıdaki gibi riskli durum oluşturmadığı ve ilaç kullanılarak risksiz şekilde tedavi edilebileceği kaydedilerek, sağlık personeline atfedilecek kusur bulunmadığı açıklandı.

Mahkeme: Özen gösterilmedi
İzmir 2. İdare Mahkemesi, raporun aksine sağlık personeline kusur atfedilmemesine rağmen sağlık hizmetinin işleyişi sırasında davacı tarafından öngörülmesi imkansız zararın ortaya çıktığını göz önünde bulundurarak, hukukun genel ilkeleri çerçevesinde hastanenin söz konusu cerrahi müdahale sırasında gerekli dikkat ve özenin gösterilmediğine kanaat getirdi.
Yıldırım'ın, ameliyatın ardından rahatsızlığı nedeniyle çalışamadığına ilişkin iş görmezlik ve gelir kaybı raporunu ibraz edememesini gerekçe gösteren mahkeme, davacının bin liralık maddi tazminat talebini reddetti, 100 bin liralık manevi tazminat isteminin ise kısmen kabulüne karar vererek, 30 bin lira manevi tazminat ödenmesine hükmetti.
Kararda, "Bu itibarla, davacının, devlet eliyle veya denetimiyle yürütülen sağlık hizmetlerinden faydalanırken güvence altına alınmış olan kişinin maddi varlığını koruma hakkının ihlal edilmiş olması nedeniyle duyduğu elem ve ızdırap değerlendirildiğinde, davacıya 30 bin lira manevi tazminat tutarının davalı idareye başvuru tarihi olan 18 Ocak 2016'dan itibaren yürütülecek faiziyle ödenmesine, fazlaya ilişkin 70 bin liralık manevi tazminat isteminin reddine karar vermek gerekmektedir." ifadelerine yer verildi.

"Aynı hatayı kimsenin yapmasını istemiyorum"
Kararı değerlendiren davacı Yıldırım, ameliyatın ardından çok ağrı çektiğini, bunun üzerine yeniden muayene olduğunu, doktorların durumu fark ettiğini ancak kendisine söylemediklerini öne sürerek, kateter telinin vücudunda unutulduğunu öğrenince çok şaşırdığını anlattı.
Yıldırım, durumun ortaya çıkmasından sonra doktorların bir araya geldiğini ancak yeni bir operasyonla telin vücuttan çıkartılamacağını söylemelerinin ardından yasal hakkını kullandığını dile getirdi.
Maddi sıkıntılar yüzünden çalışmak istediğini fakat çektiği ağrıların buna engel olduğunu ifade eden Yıldırım, "Bunu yapanlar cezasını çeksin istiyorum. Bugün verirler, yarın gider. Para dediğiniz nedir ki? Aynı hatayı kimsenin yapmasını istemiyorum. Kimsenin de acı çekmesini istemiyorum." diye konuştu.
Kaynak: AA