Göğüs Hastalıkları Uzmanı Prof. Dr. Şevket Özkaya, aşılamanın koronavirüsle mücadelede en önemli silah olduğuna dikkat çekti.
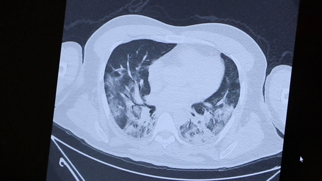
Vatandaşların aşı olması için teşvik edilmesi gerektiğini belirten Prof. Dr. Şevket Özkaya, hastalığın neden olduğu ciddi hasarı bir doktor arkadaşının göğüs filmini göstererek anlattı:
"Doğrusunu söylemek gerekirse bu incelediğimiz tomografi, ölümden kıl payı kurtulan bir doktor arkadaşımın tomografisi. Gördüğünüz gibi kendisi canla başla Covid-19 hastalarını tedavi ederken hastalığa yakalandı. Günlerce hayati tehlike yaşadı. Önce sağlık çalışanlarını aşılayacağız çünkü sağlıkçılar ne kadar güçlü olursa toplumun da o kadar güçlü olacağını düşünüyoruz. Bu görüntüsünü gördüğünüz film de 40’lı yaşlarda bir hastamızın akciğer filmi. Gördüğünüz gibi yaygın bir akciğer tutulumu var. Biz normalde 65 yaş üstünü sokağa çıkmayı yasaklıyoruz ama gördüğünüz gibi 40’lı yaşlarda da çok ciddi akciğer tutulumuyla gelen hastalar oluyor. Bu da bugün kontrole gelen akciğeri pırıl pırıl olan bir hastamız. Herkes bu kadar şanslı olmuyor. Bildiğiniz gibi 65 yaş üstü vatandaşlarımızı bu salgında çok fazla kaybettik. Onlar şu an hala evde hapisler. Toplumda ne kadar çok kişi aşılanırsa bu esaretten kurtulacağımızı düşünüyoruz.”
"Piyasadaki güvenilir ve en az yan etkisi olan aşılardan biri"
Prof. Özkaya, Çin'den gelen SinoVac aşısının şuan piyasadaki en güvenilir ve en az yan etkisi olan aşı olduğuna dikkat çekti ve vatandaşları uyardı: "Aslında aşı olmak bireysel bir karar değil, toplumsal bir sorumluluktur. Herkesin bu bilinçle karşılamasını istiyoruz."

Prof. Dr. Özkaya, "Herkesin mümkün olduğunca aşılanması gerektiğini düşünüyoruz. Ya yasaklarla yaşayacağız ya da aşı olacağız. Birçok kişinin hayatını kaybetmesine neden olan COVID-19 salgınıyla mücadele uzun süredir devam ediyor. Alınan tedbirler ve kısıtlamalarla birlikte vaka sayıları düşse de her gün yeni koronavirüs vakaları ortaya çıkıyor. Bu durumda salgının önlenmesi için aşının önemi daha da arttı” dedi.